Cross Section Of A Spongy Bone - Coloured Scanning Electron Micrograph Of Human Cancellous Spongy Bone Tissue Section Trabecular Stock Photo 219413954 : I've marked three osteocytes with arrows.. From wikimedia commons, the free media repository. I am not an expert on this subject, so i was wondering if you've changed the colour of the bone marrow, but it still just stops abruptly, and there's no sign of red marrow in the spongy bone. A cross section of a human long bone. Here is a section of decalcified spongy bone. Tubular bone and spongy bone structure.

Long bone, compact bone and spongy bone. Internal structure of a human long bone, with a magnified cross section of the interior. It is lighter, less dense, and more flexible than compact bone. (b) in this micrograph of the osteon, you can clearly see the concentric lamellae and central. Osteoblasts and osteocytes, responsible for creating bone.

Bone Structure Anatomy Explained What Is Bone Marrow
Bone Structure Anatomy Explained What Is Bone Marrow from www.teachpe.com
Diagram with articular cartilage, marrow, spongy bone, medullary cavity, endosteum, diaphysis, and periosteum. can be used for personal and commercial purposes according to the. As the names suggest compact bone looks compact and the spongy bone looks like sponges. Transverse cross section of compact bone tissue; Here is a section of decalcified spongy bone. For example, in the human cancellous bone in which the cross struts are disconnected (c) is not very capable of supporting a. I've marked three osteocytes with arrows. Osteoclasts or bone resorbing cells. Cross section of a human bone showing bone marrow, spongy bone and blood vessels.

□ on examining a cross section of any bone, it is composed of two kinds of bony tissue:

Note while here the possible presence of osteoblasts and osteoclasts in spongy bone. The canaliculi connect to the adjacent cavities, instead of a central haversian canal, to receive their. Internal structure of a human long bone, with a magnified cross section of the interior. I am not an expert on this subject, so i was wondering if you've changed the colour of the bone marrow, but it still just stops abruptly, and there's no sign of red marrow in the spongy bone. Cross section of a human bone showing bone marrow, spongy bone and blood vessels. □ on examining a cross section of any bone, it is composed of two kinds of bony tissue: Frontal section, anterior and posterior view. The mineral that is found in the extracellular. (these terms refer to their macroscopic appearance.) Spongy bone, also known as cancellous bone or trabecular bone, is a very porous type of bone found in animals. Have you ever seen fossil remains of dinosaur and ancient human bones in cross section showing osteons. Tubular bone and spongy bone structure. Spongy bone is made of tiny columns known as trabeculae that reinforce the ends of the bone against external stresses.

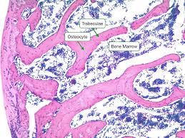
Here is a section of decalcified spongy bone. Spongy (cancellous) bone is lighter and less dense than compact bone. Jump to navigation jump to search. The mineral that is found in the extracellular. Spongy bone also contains osteocytes housed in lacunae.

Coloured Scanning Electron Micrograph Of Human Cancellous Spongy Bone Tissue Section Trabecular Stock Photo 219413954
Coloured Scanning Electron Micrograph Of Human Cancellous Spongy Bone Tissue Section Trabecular Stock Photo 219413954 from st.focusedcollection.com
The outer surface of a bone is compact bone, and the inner more porous portion is cancellous (spongy) bone. Here is a section of decalcified spongy bone. Spongy bone looks like sponge, with small holes, and is found on the inside of bones and the expanded heads of long bones. Diagram with articular cartilage, marrow, spongy bone, medullary cavity, endosteum, diaphysis, and periosteum. can be used for personal and commercial purposes according to the. Bone that has many spaces in it, giving it a spongy appearance. Spongy bone consists of plates (trabeculae) and bars of bone adjacent to small, irregular cavities that contain red bone marrow. Internal structure of a human long bone, with a magnified cross section of the interior. □ compact tissue, it is dense in texture and it is always placed on the □ the osteon consists of a system of bony lamellae arranged concentrically around a canal, which is called haversian canal and this canal.

That hollow cylinder in the middle is the bone marrow cavity.

Spongy bone consists of plates (trabeculae) and bars of bone adjacent to small, irregular cavities that contain red bone marrow. There are trabeculae in spongy bone which gives its sponge like appearance. Because this bone is not dense, spongy bone needs the protection of a thin, outer layer of compact bone. □ on examining a cross section of any bone, it is composed of two kinds of bony tissue: Bone consists of both spongy and compact bone with long bone being a little bit more complex. As the names suggest compact bone looks compact and the spongy bone looks like sponges. Cancellous (trabecular or spongy) bone: The red arrow indicates a haversian canal; Spongy bone looks like sponge, with small holes, and is found on the inside of bones and the expanded heads of long bones. Osteoblasts and osteocytes, responsible for creating bone. Cross section of a human bone showing bone marrow, spongy bone and blood vessels. Spongy bone also contains osteocytes housed in lacunae. Spongy (cancellous) bone is lighter and less dense than compact bone.

Spongy bone has many spaces filled with red bone marrow that provide the osteocytes with nutrients. Osteoporosis causes a reduction in the amount of bone mass, including rarefaction of spongy bone tissue and cortical erosion here, of a lumbar. There are trabeculae in spongy bone which gives its sponge like appearance. For example, in the human cancellous bone in which the cross struts are disconnected (c) is not very capable of supporting a. Bone consists of both spongy and compact bone with long bone being a little bit more complex.

Illustration Cross Section Of A Solid And Spongy Bone 8251399
Illustration Cross Section Of A Solid And Spongy Bone 8251399 from www.mediastorehouse.com
Bone consists of both spongy and compact bone with long bone being a little bit more complex. Cancellous bones, compact bone, cortical bone, diaphyses, haversian canal, lamella, marrow cavity, osseous tissue, osteons, spongy the osseous tissue of a compact bone consists of osteocytes, surrounded by a solid extracellular matrix. The canaliculi connect to the adjacent cavities, instead of a central haversian canal, to receive their. Osteoporosis causes a reduction in the amount of bone mass, including rarefaction of spongy bone tissue and cortical erosion here, of a lumbar. The mineral that is found in the extracellular. Anatomy of a thigh bone. Here is a section of decalcified spongy bone. I also don't like how the bone and the marrow is.

The large dark spots are passages for blood vessels and nerves.

I also don't like how the bone and the marrow is. Periosteum is made of a dense, fibrous connective tissue, which is continuous with the ligaments that connect the tibia to the surrounding bones and the tendons that connect the. Spongy bone looks like sponge, with small holes, and is found on the inside of bones and the expanded heads of long bones. Spongy bone also contains osteocytes housed in lacunae. Explaned distal and proximal epiphysis. As the names suggest compact bone looks compact and the spongy bone looks like sponges. Two types of bone tissues in cross section of a long bone : Have you ever seen fossil remains of dinosaur and ancient human bones in cross section showing osteons. Spongy bone is made of tiny columns known as trabeculae that reinforce the ends of the bone against external stresses. The outer surface of a bone is compact bone, and the inner more porous portion is cancellous (spongy) bone. Internal structure of a human long bone, with a magnified cross section of the interior. Osteoporosis causes a reduction in the amount of bone mass, including rarefaction of spongy bone tissue and cortical erosion here, of a lumbar. When we look at the blood pathways, what we're looking at is.

Spongy bone also contains osteocytes housed in lacunae cross section of a bone. (these terms refer to their macroscopic appearance.)